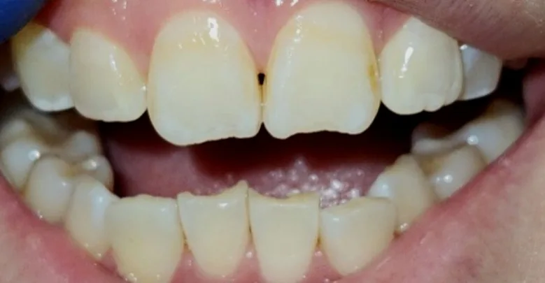
Smile Transformation: Concealing Intrinsic Teeth Stains


Collaborative care
Dr. Pratim KulkarniDDS, MS & Dr. Maria B. RodriguezDDS, MS (Orthodontics)
Crowding, dark stained teeth, chipped lower front teeth · The patient underwent Invisalign to straighten their teeth, followed by the application of veneers to conceal intrinsic stains, and cosmetic bonding to repair chipped lower front teeth. · The entire treatment process took 8 to 10 months to complete.
This patient came to us concerned about crowding, dark stains on their teeth, and chipped lower front teeth. After a comprehensive treatment plan involving Invisalign, veneers, and cosmetic bonding, they now enjoy a brighter, more confident smile. The transformation has truly changed their outlook on dental health.
More about this case ↓
Additional views
Extra angles and treatment stages that help tell the full story.


More about this case
Related Smile Stories
Patients who shared similar goals, concerns, or treatments.
Curated using topic matches

Restoring Confidence with a Combination Treatment for Missing Teeth
This patient came to us concerned about chipped, dark lower teeth and missing teeth in the upper left and lower right back areas. We developed a personalized treatment plan that included an upper partial denture, zirconia veneers for the lower front teeth, and dental implants in the lower right back region. Following treatment, the patient achieved a beautifully restored smile and renewed confidence.
Read story
Rebuilding Confidence with a Flexible Partial Denture for Missing Teeth
This patient came to us concerned about missing front teeth and recessed gums, which made them feel self-conscious. A custom flexible partial denture was fabricated, to restore their smile and improve their confidence. After just two brief visits, the patient regained a natural-looking smile with improved lip support and renewed confidence.
Read story
Smile Journey: Transforming Misaligned Teeth into a Radiant Smile
This patient struggled with misaligned and dark-stained teeth, which affected their confidence. After undergoing treatment with Invisalign, bleaching, and veneers, they now enjoy a beautifully aligned and brighter smile. The transformation has made a significant difference in their daily life.
Read storySwipe to explore more stories →
Every smile is individual
We use these Smile Stories to show possibilities, not to promise identical results. If you’re curious about options for your teeth, we’re happy to talk.