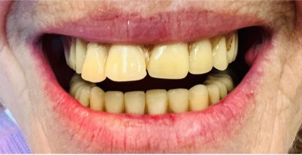
Smile Designing
Veneers for top front teeth, fillings for bottom teeth, and teeth whitening
Smiles Makeover Gallery


Teeth Whitening
Before and After results of In-Office Teeth Whitening
Smile Designing
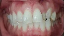
Invisalign Alignment + Upper Veneers
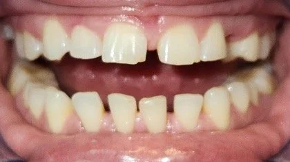
Invisalign Alignment + Fills to restore chipped edges
Teeth Alignment with Invisalign
Closing Gaps between teeth with Clear Aligners in 4-6 months
Crowding Correction with Clear Aligners
Missing Teeth Replacement
Fixed Ceramic Bridge after removing lower front teeth due to infection
Complete Denture Smile Makeover
Aesthetic Correction on a Budget!
(No Drilling!! Bioclear System)
Repair of Chipped teeth and space closure
Closing black triangles near gum line