SAME-DAY HELP FOR BROKEN / CHIPPED TEETH
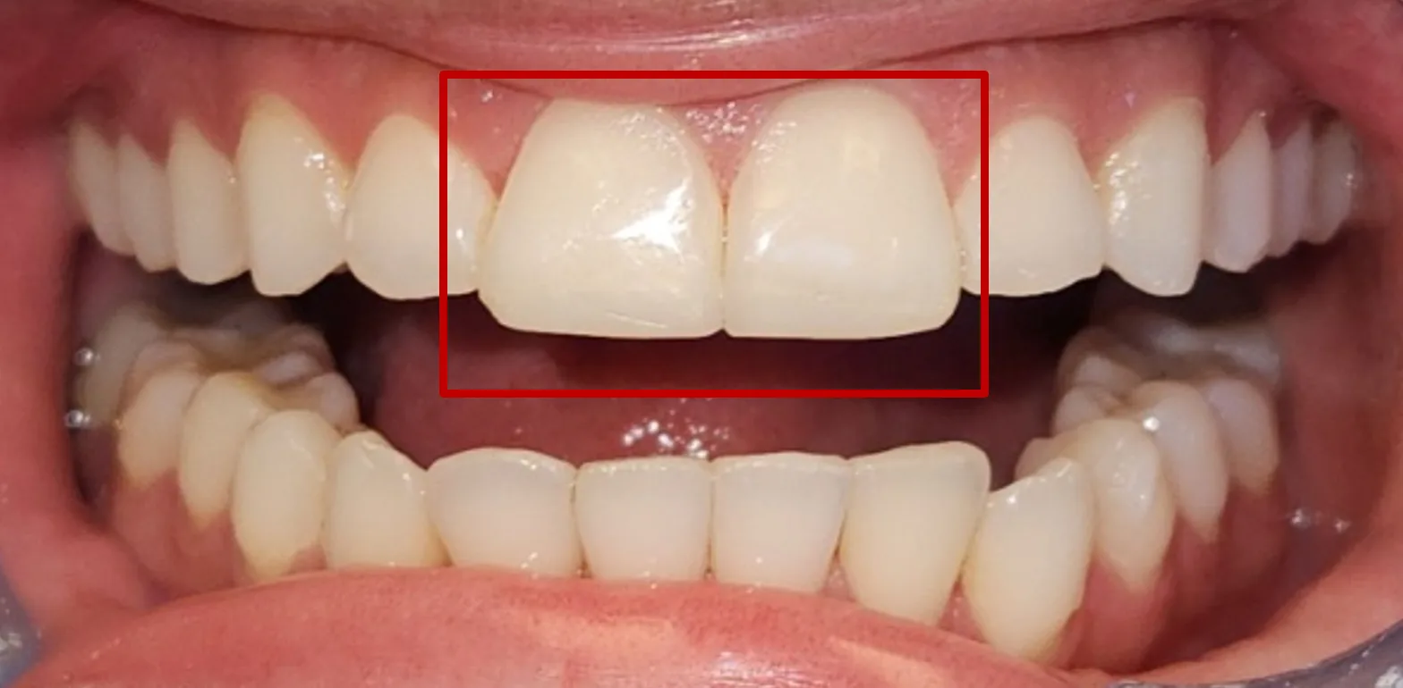
Broken or Chipped Tooth
A chipped or broken tooth can happen suddenly. We restore function and appearance with minimal downtime.
We'll walk you through how to tell if it's an emergency and what to do today.
Most repairs completed in a single visit
Common fixes: bonding, smoothing, or a crown
Real patients we've helped
See what patients felt when we treated this concern.
Many people come to us with broken or chipped tooth. Their visits often end with relief and a natural-looking repair.
Read more reviewsWhy this happens
Cracks, fractures, or chipped edges that affect comfort, function, or appearance.
Is my chipped tooth an emergency?
Answer a few quick questions to understand how urgent this might be.
Is the tooth very painful or sensitive to hot or cold?
This could mean the inner layer of the tooth is exposed. Avoid chewing on that side and contact us today so we can protect the nerve.
Good news—this is less likely to be an emergency, but the tooth can still crack further. Book a visit soon so we can smooth or repair it.
Do you see pink or red inside the chipped area?
You may be seeing the nerve or deeper dentin layer. This usually needs prompt treatment to prevent infection or ongoing pain.
The chip may be limited to enamel or shallow dentin. These are often fixable with bonding, a small filling, or a crown.
Did this happen after a hit to your face, jaw, or head?
If you feel dizzy, nauseated, or confused, seek medical care first. We can then check the teeth and jaw for fractures once you are safe.
This is likely limited to the tooth itself, but we should still examine it to prevent further cracking.
Does the tooth feel loose or like it might move?
Avoid wiggling or biting on the tooth. This is more urgent—call us so we can stabilize it and protect the root.
A firm tooth with a chip is usually easier to restore, but delaying treatment can still lead to larger fractures.
What to do right now if you chip a tooth
Rinse gently with lukewarm water
Swish slowly to clear out food or debris. Avoid very hot or icy water if the tooth feels sensitive.
Save any broken pieces
Place fragments in a small clean container or bag. Bring them with you—they can help us assess the fracture and shade.
Cover any sharp edges
Use orthodontic wax, sugar-free gum, or a small piece of cotton to keep the tooth from cutting your tongue or cheek.
Avoid chewing on that side
Stick to soft foods and do not bite into hard items like nuts, ice, or crusty bread until we have checked the tooth.
Use gentle pain relief if needed
Over-the-counter pain medication can take the edge off. Avoid placing aspirin directly on the gum, as it can burn the tissue.
Book an appointment soon
Even small chips can spread into deeper cracks. We will guide you on whether you need same-day care or a prompt, planned visit.
How we understand it
Digital imaging reveals the extent of the fracture. We use bonding, crowns, or onlays depending on the depth.
What relief looks like
Most breaks are repaired in a single visit for comfort, strength, and a natural look.
- •Cosmetic Bonding
- •Cracked Tooth Repair
- •Broken Tooth Repair
When to call sooner: If you have swelling, fever, or trouble sleeping from pain, let us know when you call — we'll prioritize you.
Pro Tip
Save any large fragments if possible—it can help with restoration.
Ready for relief?
Same-day appointments often available.
Same-day appointments often available. We handle emergencies gently.
LEARN MORE
Related blog articles

Why We Are the Number One Emergency Dentist in Fremont
When it comes to finding an emergency dentist, it is important to look for one that can offer the comprehensive care your family needs. We invite you to call our office because we are number one in Fremont for providing emergency care. Here is why:#1. WE CAN PERFORM ORAL SURGERY.One of the ways that we are unique is that we perform oral surgery on a regular basis to place dental implants. This is to the patient’s advantage because we can perform a wide range of procedures, even surgery if necessary along with emergency care.#2. OUR HOURS ARE CONVENIENT.Most dentists are not emergency dentists. They treat patients during limited business hours and that is it. While that works well for preventative care and planned cosmetic procedures, that does not work when one wakes up with a sudden toothache, damage a tooth while playing softball or accidentally lose one. In these scenarios, patients need someone quickly. Fortunately, we are here to help.#3. WE CAN MAKE YOU COMFORTABLE USING SEDATION.At Designing Smiles at Mission Hillsof Fremont, we use sedation to help our patients become calm and relaxed. Sedation can help patients have peace of mind after a traumatic event that caused the emergency in the first place. For example, if a tooth was knocked out in an accident, the patient can expect to feel discomfort and stress. Sedation has a calming effect so the patient can relax after the events that caused distress and then remain calm during the procedure.#4. WE ARE FRIENDLY AND APPROACHABLE.Patients can count on us to treat them with a smile. We understand that visiting the dentist can be stressful for a lot of people. This is escalated after an accident or traumatic experience. This is why we take the time to get to know each patient, connect, and offer a warm and welcoming experience. Sometimes all it takes is a friendly face to know that the patient will be okay and that is what we offer patients every time. Combined with sedation, the patient can truly relax while here.#5. ADVICE IS READILY AVAILABLE.After a patient damages or loses a tooth, he or she is probably worried about what options are available for correcting it. This is understandable because of how important the teeth and smile are. When the patient comes in for an examination, we will physically examine the patient’s teeth, take X-rays and let the patient know what options are available for restoring teeth. While we are an emergency dentist, we still offer the full range of solutions that would be available to the patient during normal business hours.You can depend on us to provide you with the emergency dental care that you need to fully recover from your accident. Regardless of why your tooth was damaged or lost, we can go to work solving the problem and do so while keeping you comfortable and relaxed. To learn more about our services or to schedule an appointment, call our office today at (510) 659-0130.
Read article
A Fremont Dentist Answers Common Oral Health Problems
In our Fremont dentist office, we treat people of all ages and are asked a lot of questions about oral health.
Read articleUnderstanding Dental Insurance: A Complete Guide for Bay Area Families
If you've ever stared at your dental insurance Explanation of Benefits (EOB) and thought, "I have no idea what any of this means," you're not alone. Dental insurance confuses everyone—including highly educated professionals, successful business owners, and people who manage complex budgets for a living.
Read articleCommon questions about Broken or Chipped Tooth
Is broken or chipped tooth serious?
A chipped or broken tooth can happen suddenly. We restore function and appearance with minimal downtime.
How do I know if I need treatment?
Digital imaging reveals the extent of the fracture. We use bonding, crowns, or onlays depending on the depth.
Can this go away on its own?
Most breaks are repaired in a single visit for comfort, strength, and a natural look.