SAME-DAY HELP FOR BROKEN / CHIPPED TEETH
Broken or Damaged Dentures
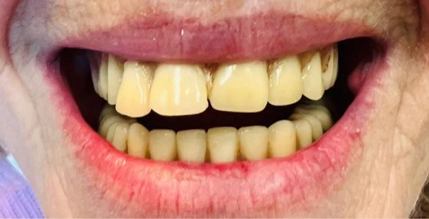
A cracked or broken denture can feel like an emergency—you suddenly can't chew comfortably, smile normally, or trust that your replacement teeth will stay put. The good news: most denture damage can be repaired or remade, and we'll help you decide whether it's a quick fix or a chance to upgrade your long-term solution.
We'll walk you through how to tell if it's an emergency and what to do today.
Real patients we've helped
“Dr. Kulkarni and the entire team at Designing Smiles provide an exceptional experience from start to finish. From the welcoming front desk staff to the knowledgeable clinical team, everyone is kind, p”
See what patients felt when we treated this concern.
Many people come to us with broken or damaged dentures. Their visits often end with relief and a natural-looking repair.
Read more reviewsWhy this happens
Cracked, loose, or broken dentures—and what to do next so you can get back to eating and smiling comfortably.
What to do when your denture breaks
Don't panic—and don't glue it. A broken denture is inconvenient and stressful, but it's usually fixable. We'll help you decide if it's a same-day adjustment, a lab repair, or a good time to move toward something more stable.
First steps if your dentures are damaged
These simple steps help protect your mouth and give us the best chance of repairing or replacing your denture smoothly.
Do this now
Take the denture out if it feels loose, sharp, or unstable—don't try to "push through it".
Rinse the denture gently with cool or lukewarm water (not hot) to remove any debris.
Gather any broken pieces, including wires or teeth, and place them in a small clean container or denture case.
Check your gums and cheeks in a mirror for any cuts or sore spots; note any pain, bleeding, or rubbing.
Call us as soon as you can so we can decide if you need a same-day visit or a quick scheduled repair.
If you must wear the denture briefly for an event, place it carefully and remove it the moment it feels uncomfortable.
Avoid this
Don't use superglue, hardware-store glue, or over-the-counter repair kits—these can permanently damage the denture and expose you to harmful chemicals.
Don't try to bend metal clasps or framework back into place yourself; small flexes can cause bigger fractures.
Don't keep wearing a cracked denture all day—it can create sore spots, ulcers, or even break further.
Don't file or grind any rough edges at home, even if they feel sharp—let us smooth and polish them properly.
Is this a dental emergency?
Most broken dentures are urgent for comfort and eating, but not life-threatening. Here's how we usually prioritize visits:
Can usually wait a short time
Your denture is cracked or a tooth has chipped, but you are not in pain and your gums look healthy. We still recommend booking a repair visit soon so the damage doesn't worsen.
Examples:
- •A small corner of the acrylic base has chipped but doesn't rub your cheek.
- •One artificial tooth has a small chip but you can still function.
- •A partial denture feels slightly loose but not painful.
Call for prompt care
Your denture is rubbing, creating sore spots, or making it hard to chew on one side. This isn't a 911 emergency, but you shouldn't push through it for weeks.
Examples:
- •The denture snapped and now rocks when you bite down.
- •A metal clasp is digging into the gum or cheek.
- •You have red, irritated areas or early ulcers where the denture rubs.
Urgent same-day evaluation
If the break has created sharp edges, cuts, or significant pain, we want to see you urgently to protect your soft tissues and get you comfortable again.
Examples:
- •A sharp acrylic edge cut your cheek or tongue.
- •The denture broke in half and you can't wear it at all, and you rely on it to eat.
- •You see swelling, pus, or bleeding around remaining teeth or implant sites under a partial denture.
How we repair or replace damaged dentures
Once we've examined your mouth and the broken denture, we'll talk through whether a repair, reline, remake, or upgrade makes the most sense.
Adjust or repair your existing denture
Good for minor cracks or broken teeth
If the base and overall fit are still healthy, we can often send the denture to our partner lab for a precise repair or replace a chipped tooth. In some cases, we can smooth a small fracture or rough edge chairside while you wait.
Good for:
- Small chips or cracks in the acrylic
- A single denture tooth that has fractured
- Clasps that need gentle tightening or reshaping
Consider if:
- You're otherwise happy with the look and fit
- The denture is not very old and the bite is still stable
Reline or remake the denture
When the base no longer fits well
Over time, your jawbone and gums can subtly change shape, especially after extractions. If the base is worn, thin, or doesn't hug your gums closely, we may suggest a reline or remaking the entire denture so it sits more securely and comfortably.
Good for:
- Dentures that feel loose or rock when you chew
- Gums that have shrunk or changed since your denture was made
- Multiple past repairs that no longer hold up well
Consider if:
- You're getting frequent sore spots or friction ulcers
- Your denture is older and breaking in several places
Upgrade to implant-supported options
For more stability and chewing power
If you're tired of worrying about breakage, slipping, or adhesives, we can explore implant-supported dentures or bridges. Implants help anchor your teeth more firmly, protect bone, and can dramatically improve day-to-day confidence.
Good for:
- Lower dentures that won't stay put
- Patients who want to chew more confidently and enjoy a wider range of foods
- Those open to a more long-term, medical-grade solution
Consider if:
- You've already had several denture remakes or repairs
- You're ready to invest in a more stable, long-term option
How we understand it
We examine your mouth and the broken denture, check for sore spots and bite changes, review your medical and dental history, then outline repair, reline, remake, or implant-based options with clear timelines and fees.
What happens at your visit
We keep the visit calm, clear, and focused on getting you back to comfort as quickly as possible.
1. Listen and examine
We'll start by asking how and when the denture broke, how long you've had it, and what's bothering you most. Then we examine your gums, remaining teeth or implants, and the broken denture itself.
2. Check fit, bite, and tissue health
We look for sore spots, changes in your bite, thinning areas in the acrylic, and any warning signs like looseness, rocking, or hidden fractures.
3. Outline your repair and replacement options
You'll see a simple breakdown of what's possible: quick repair, lab repair, reline, full remake, or an implant-supported path—with timing, pros and cons, and estimated fees.
4. Provide a short-term comfort plan
If the denture has to leave with the lab, we'll talk about how to eat, speak, and take care of your mouth in the meantime so you're not left guessing.
5. Plan your long-term solution
If this damage is a sign that your current denture is at the end of its lifespan, we'll help you plan a more durable, comfortable replacement or implant-supported option.
How to prevent future denture damage
A few small habits make it much less likely that your dentures will crack, chip, or warp.
Handle over a soft surface
Clean your dentures over a folded towel or a sink filled with water so if they slip, they're less likely to crack.
Avoid hot water and bleach
Very hot water can warp the acrylic, and harsh cleaners or bleach can weaken the material and metal parts over time.
Don't bite hard foods directly with the front teeth
Use smaller bites and chew more toward the back to reduce stress on the denture base and teeth.
Remove them at night (unless we advise otherwise)
Giving your gums a rest and soaking dentures as directed helps keep tissues healthier and the material from drying out and becoming brittle.
Keep your regular check-ups
At your hygiene and exam visits, we also check the fit and condition of your dentures to catch small issues before they turn into fractures.
What relief looks like
By the end of your visit, you'll know whether your denture can be repaired, needs a reline or remake, or whether it's the right time to consider a more secure option like an implant-supported solution.
- •Partial Dentures
- •Denture Repair & Relines
- •Implant-Supported Dentures
When to call sooner: If you have swelling, fever, or trouble sleeping from pain, let us know when you call — we'll prioritize you.
Considering a more stable option?
If your dentures have broken more than once, it may be a sign that your bite, bone, or denture base has changed. We can talk about stronger designs, better-fitting partials, or implant-supported options so you're not constantly worried about the next crack.
Pro Tip
If a piece breaks off, keep all the pieces in a small clean container and bring them with you.
Ready for relief?
Same-day appointments often available.
Same-day appointments often available. We handle emergencies gently.
LEARN MORE
Related blog articles

We Are the Best Dentist in Fremont For Replacing Missing Teeth
We are the best dentist in Fremont for replacing missing teeth using dentures, implants or dental bridges.
Read article
3 Reasons to Have Dental Surgery to Replace Missing Teeth
Our Fremont dental office can perform dental surgery to give you back the full functionality and appearance of your smile after tooth loss.
Read article
Why We Are the Number One Emergency Dentist in Fremont
When it comes to finding an emergency dentist, it is important to look for one that can offer the comprehensive care your family needs. We invite you to call our office because we are number one in Fremont for providing emergency care. Here is why:#1. WE CAN PERFORM ORAL SURGERY.One of the ways that we are unique is that we perform oral surgery on a regular basis to place dental implants. This is to the patient’s advantage because we can perform a wide range of procedures, even surgery if necessary along with emergency care.#2. OUR HOURS ARE CONVENIENT.Most dentists are not emergency dentists. They treat patients during limited business hours and that is it. While that works well for preventative care and planned cosmetic procedures, that does not work when one wakes up with a sudden toothache, damage a tooth while playing softball or accidentally lose one. In these scenarios, patients need someone quickly. Fortunately, we are here to help.#3. WE CAN MAKE YOU COMFORTABLE USING SEDATION.At Designing Smiles at Mission Hillsof Fremont, we use sedation to help our patients become calm and relaxed. Sedation can help patients have peace of mind after a traumatic event that caused the emergency in the first place. For example, if a tooth was knocked out in an accident, the patient can expect to feel discomfort and stress. Sedation has a calming effect so the patient can relax after the events that caused distress and then remain calm during the procedure.#4. WE ARE FRIENDLY AND APPROACHABLE.Patients can count on us to treat them with a smile. We understand that visiting the dentist can be stressful for a lot of people. This is escalated after an accident or traumatic experience. This is why we take the time to get to know each patient, connect, and offer a warm and welcoming experience. Sometimes all it takes is a friendly face to know that the patient will be okay and that is what we offer patients every time. Combined with sedation, the patient can truly relax while here.#5. ADVICE IS READILY AVAILABLE.After a patient damages or loses a tooth, he or she is probably worried about what options are available for correcting it. This is understandable because of how important the teeth and smile are. When the patient comes in for an examination, we will physically examine the patient’s teeth, take X-rays and let the patient know what options are available for restoring teeth. While we are an emergency dentist, we still offer the full range of solutions that would be available to the patient during normal business hours.You can depend on us to provide you with the emergency dental care that you need to fully recover from your accident. Regardless of why your tooth was damaged or lost, we can go to work solving the problem and do so while keeping you comfortable and relaxed. To learn more about our services or to schedule an appointment, call our office today at (510) 659-0130.
Read articleCommon questions about Broken or Damaged Dentures
Is broken or damaged dentures serious?
A cracked or broken denture can feel like an emergency—you suddenly can't chew comfortably, smile normally, or trust that your replacement teeth will stay put. The good news: most denture damage can be repaired or remade, and we'll help you decide whether it's a quick fix or a chance to upgrade your long-term solution.
How do I know if I need treatment?
We examine your mouth and the broken denture, check for sore spots and bite changes, review your medical and dental history, then outline repair, reline, remake, or implant-based options with clear timelines and fees.
Can this go away on its own?
By the end of your visit, you'll know whether your denture can be repaired, needs a reline or remake, or whether it's the right time to consider a more secure option like an implant-supported solution.