MISSING TOOTH SOLUTIONS
Missing or Loose Tooth
Whether it’s a recent loss or a long-standing gap, we guide you through options clearly.
We'll walk you through how to tell if it's an emergency and what to do today.
Real patients we've helped
“Got a dental implant there Dr K and the whole staff did a awesome job keep up the good work”
See what patients felt when we treated this concern.
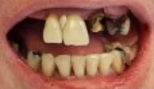
Many people come to us with missing or loose tooth. Their visits often end with relief and a natural-looking repair.
Read more reviewsWhy this happens
A single gap or several missing teeth can affect chewing, alignment, and confidence.
How we understand it
3D scans help us plan implants or bridges safely around bone and nerves.
What relief looks like
You can restore full function and a natural look with implants, bridges, or removable options.
- •Dental Implants
- •Dentures
- •Dental Bridges
When to call sooner: If you have swelling, fever, or trouble sleeping from pain, let us know when you call — we'll prioritize you.
Pro Tip
Evaluation sooner than later often expands your treatment options.
Ready for relief?
Same-day appointments often available.
Same-day appointments often available. We handle emergencies gently.
LEARN MORE
Related blog articles

We Are the Best Dentist in Fremont For Replacing Missing Teeth
We are the best dentist in Fremont for replacing missing teeth using dentures, implants or dental bridges.
Read article
3 Reasons to Have Dental Surgery to Replace Missing Teeth
Our Fremont dental office can perform dental surgery to give you back the full functionality and appearance of your smile after tooth loss.
Read article
Why It’s Important to Replace Missing Teeth
For anybody with missing teeth, dental implants are an important option to consider.
Read articleCommon questions about Missing or Loose Tooth
Is missing or loose tooth serious?
Whether it’s a recent loss or a long-standing gap, we guide you through options clearly.
How do I know if I need treatment?
3D scans help us plan implants or bridges safely around bone and nerves.
Can this go away on its own?
You can restore full function and a natural look with implants, bridges, or removable options.